初診時の正中初診時
2年後の正中二年後
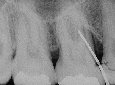
初診時の左上3初診時
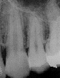
2年後の左上3二年後
2年後の右上6二年後