初診時初診時

一年後DT開始

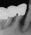
初診時のX-ray初診時

2年後のX-rayメインテナンス